Gum Recession Lower Front Teeth {}


Gum Recession Lower Front Teeth {}. It could be either in the back part of the teeth or in the front. The tooth affected looks longer than it did.

Gum regeneration Institute of Dental Implants & Periodontics
Gum regeneration Institute of Dental Implants & Periodontics from www.implantdentist.co.nz

Gum recession causes tooth loss by creating pockets that harbor harmful bacteria. Gum recession is most common in adults over the age of 40, but it can also occur in children as well. They also are used to.

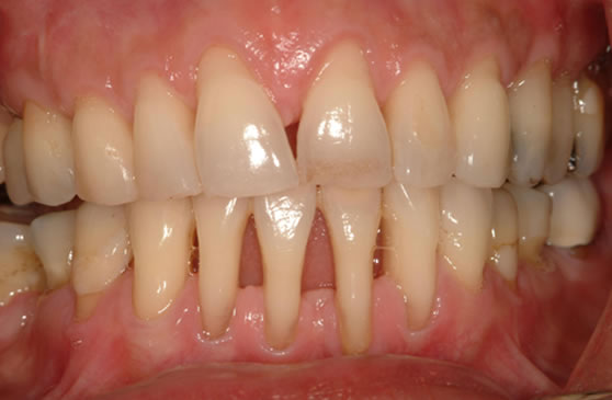
Receding Gums, Also Known As Gingival Recession Is A Condition In Which The Gum Line Is Low And The Roots Of Teeth Become Exposed.


There are many reasons why gums may recede, including: They also are used to. Here are 10 tips to improve gum recession:

First Of All, All Teeth Can Suffered Gum Recesion.


You don't have to worry about that, but they can be. These bacteria can build up and cause damage to your teeth and the tissues surrounding. Dental crowns can be used to fill space from lost gum from between teeth.

However, Due To My Two Front Teeth Getting Pushed Out Of Alignment (I Would Gander), The Gum Line On Those Teeth Are Receding Even More.


There was so much gum recession that the teeth started to become loose. My gum recession at the front is very bad and my front tooth is now loose. Gums recede with age which is where we get 'long in the tooth' from.

If You Brush Too Hard Or From The Top Of Your.


I recently had a periodontist consultation since i have severe gum recession on my lower front two teeth. Gums recession usually sets in giving off the sign of teeth sensitivity. The recovery period is typically a few weeks and usually involves eating.

Dental Crowns Are Restorations Used To Protect A Weakened Or Injured Tooth.


Hi guys, i have some gum recession on my lower front teeth for unknown reasons. Clean your teeth with the. A loose tooth if the recession has.


What choose do you want to donate?

Coffee Treat
Paypal me ardhanmotor33@gmail.com
Treat the creator to coffee by giving a small donation. click the arrow icon above

Post a Comment

Copyright ©Economic Global Blog - All rights reserved.

Redesign by bloggun.xyz
Cookie Consent
We serve cookies on this site to analyze traffic, remember your preferences, and optimize your experience.
More Details