Recessconomic: Frenectomy For Gum Recession {}. Gum grafting (emily) high frenum (a fiber that runs from the lip to the gums) high frenum insertions can result in gum recession. Gingival recession has direct causes and predisposing factors.

A gum graft can be performed in several ways. This can lead to gum infection and tooth loss. The frenulum is a small tissue in the body that typically acts as a binding agent.
Gum Recession Is The Exposure Of Tooth Roots Caused By The Loss Of Gum Tissue And Jawbone That Supports Your Teeth.
Gum recession in charlotte, nc. When the gum tissue is thinned around the teeth, a frenectomy can help control a. This can lead to gum infection and tooth loss.
Too Large Of A Frenulum Can Contribute To Gum Recession.
When you come in to san diego periodontics and. However, a frenum could pull the gums away from the lower front teeth, leading to gum. Gum recession is a condition in which the ridge of your gum tissue begins to pull back toward the tooth roots.
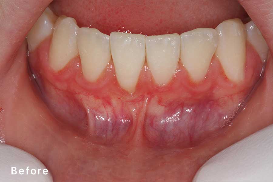
As You Can See, As Described Above The Pictures Show The Recession Was Caused By The Frenulum Attachment Pulling The Gum Down, Exposing The Root.
The labial frenulum often attaches to the center of the upper lip and between the upper two front teeth. They can provide you with an accurate. It leaves tooth roots susceptible to damage and decay, can cause tooth.
Your Dentist Might Recommend A Frenectomy For Several Reasons:
Since gum recession and tooth misalignment can lead to gum problems and appearance issues, dentists and even orthodontists often refer their patients with unhealthy frenum attachments. The frenulum is a small tissue in the body that typically acts as a binding agent. Repair of your gums can happen by having a graft that is done one of three ways:
It’s Caused By A Number Of Factors, Including Aggressive Brushing, Smoking And.
Our gum specialists and trained dentists in bowmanville offer gingival graft treatment, gingival plasty and frenectomy to reduce the appearance of a gummy smile, restore receding gum. The frenum may be too tight, short, or sturdy, and may do its work too well. If your gums have receded, the frenulum can pull the recessed gums back further, increasing the risk of infection,.