Invisalign Causing Gum Recession {}. The best way to address any issues with invisalign is to see our dentist immediately. Recession can be repaired and the symptoms of it can often be treated quite easily.

Gum recession is where the margin of your gum starts to wear away causing black triangles in orthodontics. What some patients report as gum recession is the repositioning of the gumline associated with the new position. 6.1 wear your aligners as much as possible.
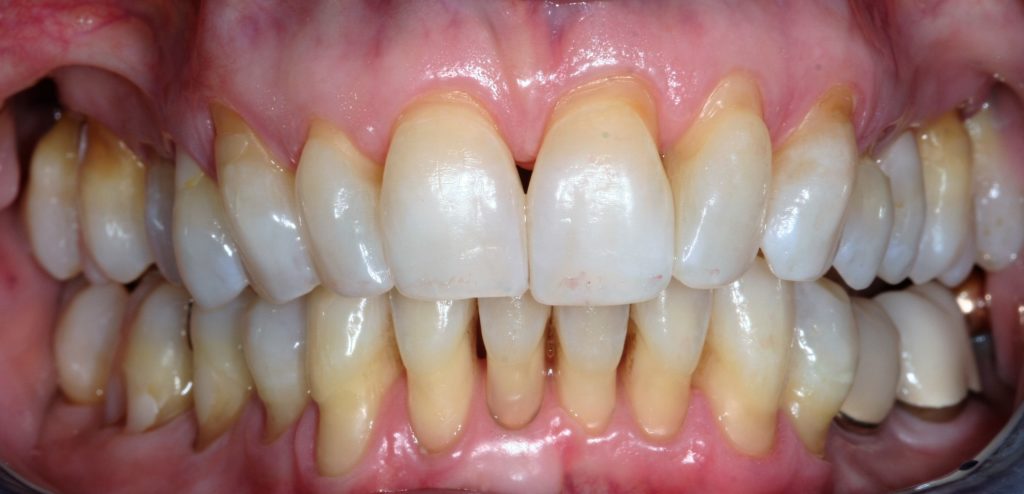
Gingival Recession Is A Common Problem Among Adults Over The Age Of 40, But Not One Which Should Be Taken Lightly By Younger Patients.
Welcome back to my channel. Orthodontic wax is a clear, silicon wax made for dental use. Gum recession can cause unpleasant symptoms such as sensitivity to hot and cold, when eating or drinking.
Gum Disease Must Be Treated And Managed Before Starting Treatment With Clear Aligners To Avoid Permanent Damage To Your Teeth.
Gum recession occurs when gum tissue is recessed and lowers its position on the tooth, creating exposure in the roots of the teeth. The best way to address any issues with invisalign is to see our dentist immediately. If pain persists, ice is always a good way to get some aligner pain relief.
Recession Can Be Repaired And The Symptoms Of It Can Often Be Treated Quite Easily.
What some patients report as gum recession is the repositioning of the gumline associated with the new position. Today i have a invisalign update for you all to check in with me on my process!#invisalign #invislaignprocess #invisali. If you have a gap between two or more teeth, you have a spacing issue.
Symptoms Of Receding Gums Include:
Fixed retainers, which are fitted and bonded to the back of the teeth, are typically worn for several years. This doesn’t happen to everyone, but it’s a relatively common issue. Some people are hesitant about.
Gum Recession Is The Process In Which The Margin Of The Gum Tissue That Surrounds The Teeth Wears Away, Or Pulls Back, Exposing More Of The Tooth, Or The Tooth’s Root.
Fixed retainers, which are fitted and bonded to the back of the teeth, are typically worn for several years. There are many other links too but you get the idea. 5 invisalign pain first week.